The Jackson Laboratory

Machine learning & Image Analysis Core

About

The overall goal of the Machine Learning & Machine learning & image analysis core (MLIA) is to develop and provide resources for the geroscience community to aid in computer-assisted histopathological analysis and discovery of age-related histological features.

Core leader: Matt Mahoney

Contact Matt

Machine learning & Image Analysis Core resources include

Digital pathology analysis pipelines and online tools

The MLIA has developed tools that allow for the automatic prediction of animal age from whole-slide kidney images. (Sheehan 2019, Sheehan 2024). These tools have been embedded in a user-friendly pipeline from whole-slide scanned image storage to data output. A dedicated website was created that contains the code, manuals, and instruction videos and allows interested users to set up their own image analysis pipeline and adapt the tools to analyze other tissues.

Learn more

Image processing for void spot assays

The MLIA developed a next generation void spot assay (VSA) in collaboration with Dr. Warren Ladiges to non-invasively measure bladder function (Hardy, in preparation). The VSA leverages the fact that urine flu oresces under UV light, allowing the computational characterization of voiding volumes, patterns within the cage, and voiding behavior.

Read full publication

Collaboration and training support

We used our pipelines to assist several groups with their histological images as well as providing trainings in geropathology image analysis, including with

  • The de Cabo lab at NIH to set up OMERO and adapt a kidney pipeline
  • Hosting two graduate students from the Terzi lab at the Institut Necker Enfants Malade, Paris, France, to teach them how to apply image analyses developed by our core
  • The Sweetwyne lab at the University of Washington to implement our mesangial matrix expansion pipeline
About Pilot Award Program

Featured findings

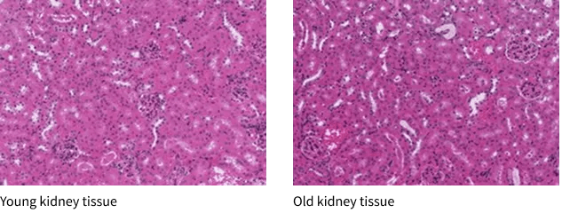
Our pipeline can easily distinguish between young kidney tissue and old kidney tissue. We can “paint” our age scores on tissues and look at where aging is happening.

Related resources

©2026 The Jackson Laboratory